基本信息
姓名:钟文兴
性别:男
年龄:47岁
患者主诉:上下前牙松动3年,要求拔除后修复治疗。
现病史:上下前牙松动3年,反复牙龈肿痛,并影响美观,要求拔除后修复。
既往史:既往体健
临床检查
专科检查:张口度正常,口内见12、11、21、22、42、41、31、32松动III度,牙龈萎缩,牙根暴露,深覆牙合、深覆盖,牙结石(++),大部分牙龈红肿,探诊易出血。如图1、2、3.

图1 术前口内正面照

图2术前口内侧面照

图3术前口内腭面照
辅助检查:CBCT示:12、11、21、22、42、41、31、32牙槽骨吸收达根尖三分之一

图4术前CBCT全景视图
诊断治疗计划
诊断:12、11、21、22、42、41、31、32重度牙周炎。
诊疗计划:拟牙周基础治疗,拔除12、11、21、22、42、41、31、32,行11、21、31、42即刻种植术。
治疗过程
2013年7月,局麻下拔除12、11、21、22、42、41、31、32,于11位置植入RC4.1x12mm种植体,21位置植入RC4.1x12mm种植体,42位置植入RC4.1x12mm种植体,31位置植入NC3.3x12mm种植体,如图5、6、7、8。术后即刻CBCT如图9。术后6个月行种植二期修复,口内照如图10。

图5 拔除11、21、21、22四周的上前牙区口内照

图6 拔除31、32、41、42四周的下前牙区口内照

图7 早期植入11、21两颗种植体

图8 早期植入31、42种植体

图9 术后当天CBCT

图10 修复完成口内正面照
定期复诊

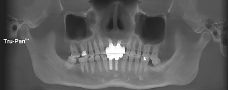
图11 修复后1年复查CBCT

图12 修复后2年复查CBCT

图13 修复后5年复查CBCT
总结
此病例为前牙早期种植病例,应用了骨水平种植体及牙龈瓷技术,改变了患者原先上颌前突症状,侧貌改观明显。种植术后复诊时间超过5年,无明显并发症。
